 |
Java Games: Flashcards, matching, concentration, and word search. |
 |
 |
3-2 Identify the Microscopy Technique
Determine the type of microscope used to produce each image.
|
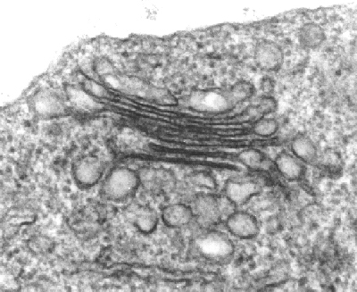
| A | B |
butterfly wing,  | compound light microscope |
plant cells,  | compound light microscope. |
blood,  | scanning electron microscope |
pollen,  | scanning electron microscope. |
mitochondrion,  | transmission electron microscope |
Golgi complex,  | transmission electron microscope. |
snowflake,  | scanning electron microscope.. |
stained onion cells,  | compound light microscope.. |
|
 |
|
|
|
West Port High School |
| Ocala, FL |
|
|
|
|
|
| |