| A | B |
| glands that secrete chemicals through a duct that leads to the outside of the organ | exocrine |
| gland that secretes chemicals called hormones into the blood; ductless | endocrine |
| flattened cells | squamous |
| cells that are taller than they are wide | columnar |
| a single layer of cells | simple |
| cells that are as wide as they are tall | cuboidal |
| more than one layers of cells | stratified |
| found where diffusion and absorption are needed (lungs, capillaries) | simple squamous |
| cells that produce mucus; usually found near columnar cells | goblet cells |
| skin is this type of epithelial tissue | stratified squamous |
| found in areas of stress and stretching; urinary bladder | stratified transitional |
| cells appear layered but are not | pseudostratified |
| projections of a columnar cell that increase its surface area or assist in moving substances along the cell surface | microvilli/cilia |
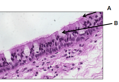
 | Pseudostratified columnar epithelium |
 | Simple squamous |
 | Stratified Squamous Epithelium |
 | A. Cilia B. Goblet cell |