| A | B |
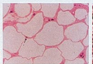
| Connective Tissue, Fat cells | Large empty looking cells,  |
| Epithelial Tissue,Simple squamous of lung tissue |  |
| Muscle Tissue-Smooth Muscle Surrounding Intestine |  |
| Muscle Tissue-Cardiac Muscle of Heart |  |
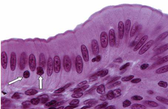
| Epithelial Tissue-Pseudostriated epithelium of Trachea | How many layers in tall cells,  |
| Epithelial Tissue-Simple Columnar Epithelium |  |
| Connective Tissue-Compact Bone |  |
| Nervous Tissue-Nerve Cells |  |
| Epitheial Tissue-Scraping of cheek cells |  |
| Epithelial Tissue-Darkly Pigmented Stratified Squamous Epithelium |  |
| Epitheial Tissue-Simple cuboidal in Kidney | Notice shape of cells around each tubule,  |
| Epithelial Tissue-Stratified Squamous | notice number of layers,  |
| Connective Tissue-Cartilage | Notice pink/purple tissue in middle,  |
| Epithelial Tissue-Pseudostratified Epithelium | Note far Right tissue-goblet cells and cilia,  |
| Connective Tissue-Adipose Tissue | Notice the nuclei are moved far to one side,  |
| Connective Tissue Red Blood Cells | Note lack of nuclei,  |
| Connective Tissue-Fibrous | makes up vertebral disks,  |
| Connective Tissue-Elastic Cartilage | Note pink/purple color,  |
| Nervous Tissue-Neuron cell |  |
| Muscle Tissue-Skeletal Muscle | note striations and straight bands,  |
| Muscle Tissue-Smooth Muscle | Note one nucleus per cell,  |